- Health
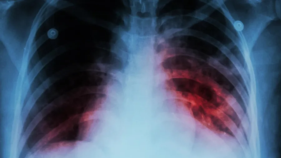
- 40 ટકા ભારતીયોમાં TBના લક્ષણ, ઓળખ કરવામાં મોડું થવું જીવલેણ: એક્સપર્ટ
40 ટકા ભારતીયોમાં TBના લક્ષણ, ઓળખ કરવામાં મોડું થવું જીવલેણ: એક્સપર્ટ
મુંબઇમાં આયોજિત એક ન્યૂઝ ચેનલના કાર્યક્રમના બીજા દિવસે જીવલેણ બીમારી TBના લક્ષણો અને નવા પ્રકારની સારવાર પર ચર્ચા કરવામાં આવી. આ ચર્ચામાં ગ્લોબલ હેલ્થ સ્ટ્રેટેજિસના વરિષ્ઠ ડિરેક્ટર રમણ શંકર, પી.ડી. હિન્દુજા હૉસ્પિટલ એન્ડ મેડિકલ રિસર્ચ સેન્ટરથી કન્સલટેન્ટ પાલ્મોનોલૉજિસ્ટ ડૉક્ટર લેંસલોટ પિન્ટો, TB ચેમ્પિયન એન્ડ સર્વાઇવર મીરા યાદવ અને BMCથી ડૉક્ટર સુધાકર શિંદે સામેલ છે.
પાલ્મોનોલૉજિસ્ટ ડૉક્ટર લેંસલોટ પિન્ટોએ ચર્ચા દરમિયાન કહ્યું કે, લગભગ 40 ટકા લોકોમાં TBના લક્ષણ હોય છે. આ 40 ટકા લોકોમાં 5 ટકા લોકોને આ બીમારી પોતાના શિકાર બનાવી લે છે. તેમણે આગળ કહ્યું કે, TBને લઈને લોકો માનવા માગતા નથી કે તેઓ આ બીમારીની ઝપેટમાં છે. આ કારણે તેમની તપાસમાં મોડું થઈ જાય છે અને તેઓ TBના શિકાર થઈ જાય છે. જો તમને થોડા દિવસોથી ખાંસી હોય તો ડૉક્ટરને દેખાડવું જોઈએ.

જો ડૉક્ટરને દેખાડ્યા બાદ પણ ખાંસીની પરેશાની છે ડૉક્ટરની સલાહ પર TBની તપાસ કરાવવી જોઈએ. TBની તપાસની રીત પણ ખૂબ બદલાઈ ગઈ છે. પહેલા માઈક્રોસ્કોપથી જ્યારે તપાસ થતી તો તેમાં 40 ટકા TB ઉત્પન્ન કરનારા કિટાણુઓની જાણકારી મળી શકતી નહોતી, પરંતુ હવે નવી ટેક્નિકના માધ્યમથી થઈ રહેલી તપાસમાં ઘણું બધુ સ્પષ્ટ થઈ જાય છે. એ ખોટી ધારણાં બની ચૂકી છે કે TB માત્ર સમાજના ગરીબ વર્ગોથી આવનારા લોકોને જ ઝપેટમાં લે છે, જ્યારે એવું કશું જ નથી.
ડૉ. પિન્ટોએ આગળ કહ્યું કે, જો તમે ડાયાબિટિશના શિકાર છો તો તમને TB થવાનું જોખમ પણ વધારે છે. જો તમે સિગારેટ પીવ છો તો પણ તમને આ બીમારી ઝપેટમાં લઈ શકે છે. તેની સાથે જ જો તમને લીવર કે કિડની સાથે જોડાયેલી બીમારી છે તો પણ TBનો શિકાર સરળતાથી થઈ શકો છે. ચર્ચા દરમિયાન એક્સપર્ટ પેનલમાં સામેલ હેલ્થ સ્ટ્રેટેજિસના વરિષ્ઠ ડિરેક્ટર રમણ શંકરે પણ ઘણી મહત્ત્વની વાતો કહી.

તેમણે કહ્યું કે, ICMRના એક સર્વે મુજબ, TBના કેસોમાં લગભગ 64 ટકા લોકો એવા હોય છે, જેમનામાં લક્ષણ હોય છે, પરંતુ તેઓ તપાસ કરાવતા નથી. TBના લક્ષણોની સલાહ પર ઓળખ ન કરી શકવાથી આ બીમારીના દર્દીઓમાં વધારો થાય છે. પહેલાંની તુલનામાં આજના સમયમાં TBની તપાસના સારા વિકલ્પ ઉપલબ્ધ છે. કોરોનાની જેમ TBની ટ્રેસિંગ થવી જરૂરી છે. TB રોકવા માટે શહેર (મુંબઈ)માં BMC સ્વાસ્થ્યકર્મીઓએ ઘેર ઘેર જઈને TBની તપાસ કરવી જોઈએ. તો પેનલમાં સામેલ TB સર્વાઇવર મીરા યાદવે પોતાની કષ્ટોથી ભરપૂર ટ્રીટમેન્ટ જર્ની બાબતે જણાવ્યું. તેણે કહ્યું કે, વર્ષ 2013માં તેને ખબર પડી કે TB થઈ છે. તેની TBની જર્ની ખૂબ જ મુશ્કેલ હતી.
TBની અસર માત્ર દર્દી જ નહીં, પરંતુ તેની સાથે જોડાયેલા લોકો પર પણ પડે છે. તેને આ ખતરનાક બીમારીથી બહાર નીકળવામાં લગભગ 4 વર્ષનો સમય લાગી ગયો. તેને આ બીમારીના કારણે ફેફસા પણ ગુમાવવા પડ્યા. જો કોઈને TB જેવી ગંભીર બીમારી થાય છે તો તેની સમય પર સારવાર ખૂબ જરૂરી છે. જો ઓળખમાં મોડું થાય છે તો TBની બીમારી ઘણી હદ સુધી બગડી જાય છે. તેના ઘણા સ્ટેજ હોય છે. થોડી ગંભીર કન્ડિશનમાં દવાઓની અસર પણ ઓછી થઈ જાય છે અને TB ગંભીર રૂપ લઈ લે છે તો દર્દીનું બચવું મુશ્કેલ થઈ જાય છે.

